Что такое периимплантит и как его лечить
Современные имплантаты имеют высокий уровень приживаемости. Однако бывают ситуации, когда организм начинает отторгать искусственный корень зуба. Это может произойти через несколько дней, месяцев и даже лет после имплантации. Основная причина — периимплантит. Что это такое, почему он развивается и как предотвратить его развитие, ответим в статье.
Периимплантит — определение заболевания
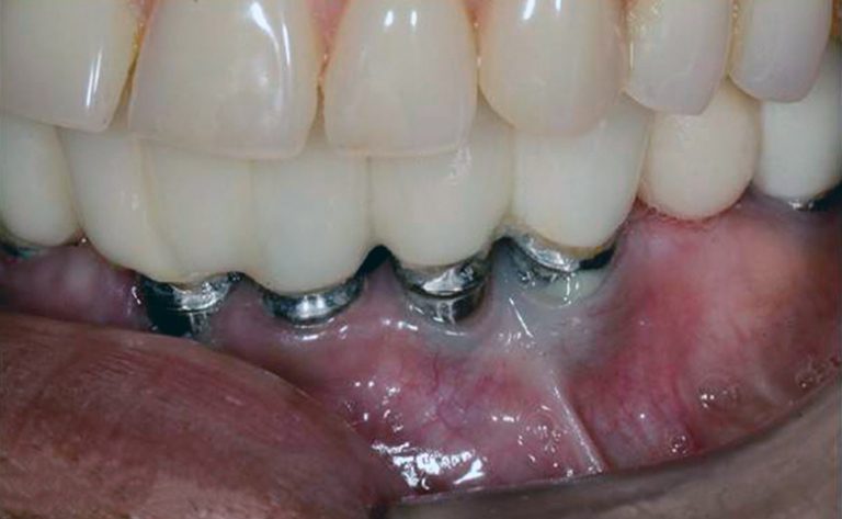
Это воспалительный процесс деструктивного характера, который затрагивает мягкие и твердые ткани зуба, окружающие имплантат. Со временем начинает разрушаться костная ткань, что приводит к расшатыванию титанового корня. Причина развития патологии связана с бактериями, которые проникают в десну и накапливаются на поверхности имплантата.
Периимплантит считается одним из осложнений после имплантации. Ему предшествует еще одно воспалительное заболевание — мукозит. Главное отличие двух патологий в площади поражения: при мукозите воспаление затрагивает только мягкие ткани и находится как бы на поверхности. При периимплантите инфекция проникает вглубь кости и имеет более серьезные последствия.
Многие пациенты думают, что результат имплантации зависит исключительно от профессионализма врача. Но это не совсем так. Безусловно, на имплантолога возлагается большая ответственность за проведение операции, однако ее благополучие зависит также от дальнейших действий пациента. В первую очередь это касается соблюдения рекомендаций в течение восстановительного периода и регулярный уход за новой конструкцией во рту.
Симптомы периимплантита
Обычно заболевание проявляет себя следующим образом:
- покраснение десны, отечность на месте установленного импланта;
- болевые ощущения при надавливании, жевании;
- расшатывание конструкции;
- образование пародонтального кармана — пространства между зубом и десной;
- кровотечение из лунки, появление гноя;
- неприятный привкус, запах изо рта;
- плохое самочувствие, связанное с повышением температуры.
Лечение указанных симптомов домашними способами — один из самых худших вариантов решения проблемы. Чем дольше оттягивать визит к специалисту, тем больше шансов получить серьезные осложнения. В большинстве случаев избавиться от них можно лишь хирургическим методом, а это значит, что придется удалять имплантат — не самая радужная перспектива с учетом того, сколько времени и средств было потрачено ранее на имплантационное лечение.
Почему появляется периимплантит
- Оголение имплантата
Через несколько лет после установки имплантата происходит небольшая убыль кости. Это естественный процесс, который считается нормой. Несмотря на то, что производители стремятся свести подобное явление к минимуму, улучшая конструктивные особенности имплантатов, полностью избежать резорбции костной ткани пока невозможно. В результате оголяется шейка имплантата. Если у пациента плохая домашняя гигиена, то на оголенном участке конструкции начинают скапливаться и размножаться бактерии, что приводит к развитию периимплантита, а затем – к отторжению титанового корня.
- Некорректная установка имплантата
Как было сказано ранее, объем кости после вживления конструкции со временем уменьшается. Опытный врач всегда учитывает этот момент во время планирования операции. Однако не всегда удается избежать ошибок. Если имплантат изначально был установлен выше уровня десны, то риск развития воспалительного процесса значительно увеличивается.
- Отсутствие ухода за конструкцией
Когда реабилитационный период позади, многие пациенты забывают ухаживать за имплантатом. Нерегулярная чистка зубов, игнорирование профессиональной гигиены провоцируют развитие плохой микрофлоры в полости рта, что является главной причиной периимплантита.
- Системные заболевания (сахарный диабет, болезни крови и ЖКТ, аутоиммунные заболевания, лучевая и химиотерапия и др.)
Важно уведомлять врача обо всех заболеваниях на этапе планирования операции. Правильно подобранный план лечения до и после имплантации поможет снизить риск отторжения конструкции.
- Образование зазора между ортопедическими компонентами
Такая ситуация может возникнуть в том случае, если в клинике устанавливают неоригинальные супраструктуры. Что это такое? Готовый зуб состоит из нескольких элементов: имплантата, коронки, абатмента, который соединяет эти два элемента. Если имплантат практически всегда оригинальный, то остальные компоненты могут быть заменены на более доступные аналоги. Каким бы ни был аналог, он все равно не сможет заменить оригинал от производителя. В результате через несколько лет эксплуатации может произойти поломка или раскручивание абатмента. Потеря устойчивости конструкции приводит не только к дискомфорту, но и к появлению зазоров, куда попадают патогенные микроорганизмы. Факт использования неоригинальных компонентов вряд ли доводится до сведения пациента, поэтому важно выбирать проверенные клиники для проведения имплантации. Например, наша клиника была основана еще в 1991 году.
- Другие причины
- Заболевания десен, даже если они были вылечены до операции.
- Нарушение протокола лечения (неправильно подобранный имплантат, место и угол наклона, несоблюдение условий стерильности, попадание слюны в открытую лунку и т.д.).
- Вредные привычки, избыточный стресс.
- Плохая санация полости рта.

Стадии периимплантита
У заболевания три стадии выраженности.
| Степень развития | Как проявляется |
Легкая степень |
Объем кости уменьшился меньше чем на четверть. Образование пародонтального кармана, незначительные болевые ощущения, покраснение десны. На этом этапе применяются консервативные методы лечения, практически всегда удается сохранить искусственный корень. |
Средняя степень |
Резорбция костной ткани на 50%. Происходит увеличение глубины пародонтального кармана, появление гноя, усиление боли, расшатывание конструкции. |
Тяжелая степень |
Уменьшение объема костной ткани больше чем на 50%, глубокие зубодесневые карманы, боль при прикосновении, шатание имплантата, кровотечение и гнойные выделения. |
Диагностика и лечение периимплантита
При обнаружении симптоматики, схожей с развитием периимплантита, следует обратиться за профессиональной помощью. Методика лечения будет зависеть от стадии выраженности заболевания. Соответственно, чем раньше начнется корректировка состояния десны, тем больше шансов на скорейшее выздоровление и сохранение имплантата.
Перед тем как приступать к лечению, врач проводит диагностику. На ее основе составляется схема лечения.
- 3D-снимок: врач смотрит на состояние костной ткани.
- Зондирование: таким образом доктор определяет глубину зубодесневого кармана и индекс кровоточивости.
- Осмотр полости рта: индекс налета, состояние слизистой, наличие/отсутствие гноя.
- Степень подвижности искусственного корня.
Также могут назначаться другие анализы для полноты клинической картины.
После того как врач собрал всю необходимую информацию, подбирается методика лечения.
- Удаление бактериальной пленки с поверхности имплантата (ультразвук, Air Flow, Vector). Это первостепенная задача, которую необходимо решить при обнаружении периимплантита.
- Курс антибиотиков. В идеале назначение того или иного препарата происходит после анализа на микрофлору полости рта.
- Наращивание костной ткани биосовместимым материалом, перед этим обязательно проводится удаление патогенных микроорганизмов.
- Эстетическая коррекция линии десны при необходимости.

Если лечение вышеуказанными методами не принесло ожидаемого результата, наблюдается сильная подвижность имплантата, то проводится удаление искусственного корня.
- При отсутствии противопоказаний повторная установка имплантата рекомендуется не позже чем через месяц после извлечения отторгнутого корня. По возможности вживление происходит одновременно с подсадкой костного материала.
- При наличии ограничений установка имплантата растягивается на несколько месяцев. Сначала происходит заживление лунки, затем наращивается объем костной ткани, а после вживляется новый имплантат.
Профилактические мероприятия
Периимплантит не должен стать преградой на пути к здоровой улыбке. Его, как и многие другие заболевания, можно избежать, если соблюдать некоторые правила.
- Тщательно подбирайте клинику и лечащего врача. Ориентируйтесь не только на отзывы в интернете, но и на рекомендации близких и друзей. Потратьте время на знакомство с клиникой и врачом, сходите на несколько консультаций, не стесняйтесь задавать вопросы и просить показать сертификаты.
- Во время планирования лечения постарайтесь полностью описать состояние своего здоровья. Чем подробнее будет собранный анамнез, тем меньше шансов наткнуться на неприятные сюрпризы.
- Соблюдайте рекомендации доктора до и после установки имплантата. Особенно важны первые две недели.
- Не забывайте о регулярной гигиене полости рта: как домашней, так и в кабинете у стоматолога.
- Следите за иммунитетом и общим состоянием здоровья, при необходимости принимайте поливитамины и микроэлементы.