Флюороз – что это за пятна на зубах?
Белые или коричневые пятна на поверхности зубов могут быть не только предвестниками кариеса, но и симптомами флюороза. Причина этого заболевания в избытке фтора в организме. Поддается ли лечению флюороз, как его выявить и предупредить, а также чем флюороз отличается от кариеса, разберемся в статье.
Что такое флюороз
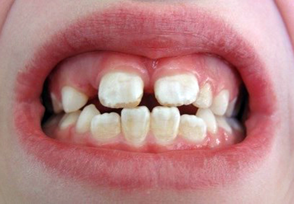
Фтор — полезный микроэлемент, который входит в состав костной ткани и зубов. Казалось бы, хорошего много не бывает, однако ко фтору это не относится. Лишнее поступление в организм этого вещества вызывает сначала размягчение эмали, а затем флюороз — на зубах появляются повреждения в виде белых пятен или полосок, которые со временем приобретают желтоватый оттенок. Они разрушают эмаль и дентин, постепенно образуя на зубах ямки, что влечет за собой риск потери зубов.

Причины развития флюороза
Заболевание всегда появляется на фоне избытка фтора в организме. А почему случилась передозировка микроэлементом — другой вопрос.
1. Самая распространенная причина флюороза зубов — длительное употребление воды с высоким содержанием фтора. Заболеванию приписывают эндемический характер, так как оно развивается преимущественно у людей, живущих в определенных районах страны, где превышен показатель фтора в воде. Этот микроэлемент также содержится в продуктах, однако в такой форме он сложнее усваивается организмом.
Чаще всего флюороз обнаруживается у детей и подростков, потому как в их возрасте зубная эмаль еще не окрепла. Немаловажным фактором поражения зубов у малышей является избыток фтора в воде, которую употребляла мама в период беременности. Ведь зачатки молочных зубов формируются во внутриутробном периоде. Однако флюороз на молочных зубах выявить сложно, так как он практически незаметен.
2. На фоне профессиональной деятельности. Когда работникам по долгу службы приходится вдыхать фтористые соединения.
3. Передозировка медикаментами, содержащими фтор. Фтор — это палка о двух концах: недостаток его вызывает кариес, избыток — флюороз. Поэтому если вы хотите укрепить эмаль, желательно не увлекаться самолечением, а обратиться к специалисту.
Сегодня очень популярны зубные пасты с фтором. Однако мы рекомендуем не попадаться на эту маркетинговую уловку, а выбирать те средства гигиены, которые подходят вам на данный момент.
Формы флюороза
Заболевание бывает различных форм и видов, которые отличаются степенью поражения и выраженной симптоматикой.
По степени распространения флюороз делится на:
- локализованный, когда поражение затрагивает отдельные зубы (чаще всего резцы);
- генерализованный, когда поражены все зубы.
| Форма флюороза | Характерные признаки |
Штриховая |
Начальная стадия заболевания. На зубах появляются беловатые штрихи, которые становятся заметными после просушивания эмали. |
Пятнистая |
Полосы постепенно преобразуются в пятна. В области пятна эмаль гладкая, при прикосновении не вызывает неприятных ощущений. |
Меловидно-крапчатая |
Пятна постепенно темнеют. Их поверхность становится шероховатой, в зоне поражения уменьшается слой эмали. |
Эрозивная |
Эмаль в зоне поражения практически полностью стирается, появляется реакция на горячее и холодное. |
Деструктивная |
Самая тяжелая стадия заболевания. Разрушение захватывает не только эмаль, но и дентин, появляется острая реакция на температурные раздражители. |
Стадии флюороза
Заболевание проявляется не сразу, а постепенно, поэтому начальная стадия протекает практически незаметно. Тем не менее выделяют несколько этапов развития флюороза.
- Очень легкая форма. Цвет эмали остается прежним, поражения практически незаметны.
- Легкая форма. Белые полоски и пятна еле заметны, область поражения составляет не более ¼ коронки зуба.
- Умеренная форма. Зона поражения уже ярко выражена, занимает не более половины коронки зуба.
- Средняя тяжесть. Белые пятна становятся желтовато-коричневыми, проявляется дентин.
- Тяжелая форма. Эмаль в области пятен разрушается, появляются углубления, иногда ломается коронка. Заболевание охватывает около 70% зубов.
У многих заболевших наблюдаются смешанные формы флюороза.

Лечение флюороза
Первым делом необходимо уменьшить количество фтора, поступающего в организм: сменить источник воды (пользоваться фильтром), выбирать зубную пасту без фтора и т.д. К сожалению, это не поможет избавиться от пятен, так как флюороз необратим, однако остановит распространение заболевания. Исключение — флюороз, протекающий в очень легкой форме. Восстановить эмаль в таком случае можно посредством профессиональной гигиены и курса реминерализации. Но поскольку ранний флюороз диагностируют довольно редко из-за слабо выраженной симптоматики, то чаще всего применяются иные методы лечения.
- Реставрация зубов. Применяется при слабом поражении эмали. Сначала убирают участки с флюорозом, а затем коронку восстанавливают композитной пломбой.
- Отбеливание. Применяется в том случае, если пятна белого оттенка. Чаще всего после процедуры цвет выравнивается и пораженные участки становятся практически незаметными.
- Виниры, коронки. Такой метод позволит скрыть дефекты при сильных поражениях.
В критических ситуациях проводится удаление зуба с последующей имплантацией.
Диагностика флюороза
Нередко флюороз путают с начавшимся кариесом и гипоплазией эмали. Поэтому перед началом лечения важно провести правильную диагностику.
- Врач собирает анамнез: слушает жалобы, расспрашивает про заболевания близких родственников, район проживания в детстве.
- Проводит визуальный осмотр зубов, проверяет блеск, прозрачность эмали, наличие шероховатости, определяет степень поражения.
- Тестирует зуб на болезненность, высушивает поверхность зубов и подсвечивает их ультрафиолетом.
- Направляет на рентгеновский снимок.
Отличие кариеса от флюороза:
| Заболевание | Как проявляется | Когда проявляется | Где проявляется |
|---|---|---|---|
Кариес в начальной стадии |
Чаще всего одно пятно |
После прорезывания зубов |
Фиссуры, межзубные промежутки, жевательная поверхность |
Флюороз |
Поражения на нескольких зубах |
В основном до прорезывания зубов |
На внешней стороне зубов |
Профилактика флюороза
- Важно следить за нормой потребления фторсодержащих продуктов и жидкостей.
- Не злоупотреблять зубными пастами, в составе которых числится фтор.
- Следить за полостью рта, дважды в год проходить профилактический осмотр и профгигиену.
- При необходимости пить витаминные комплексы.
Так как в зоне риска находятся дети и подростки, то стоит добавить, что мама, будучи в положении, должна следить за качеством потребляемой воды. После рождения ребенка желательно сохранить грудное вскармливание, если это невозможно, большую часть воды заменить на компоты, морсы или молоко. В период роста и развития малыша стараться как можно реже давать ему кипяченую воду из-под крана, если вы живете в районе с повышенным содержанием фтора в воде. По показаниям принимать витамины, особенно кальций и фосфор — они вымывают фтор из организма. Но при этом не забывайте, что недостаток фтора может привести к кариесу, поэтому регулярно посещайте специалиста.