Гранулема зуба: диагностика и лечение
Есть такие стоматологические заболевания, о существовании которых можно даже не подозревать. К ним относится гранулема зуба. Если симптомы кариеса или пульпита заметны невооруженным глазом, то гранулему практически во всех случаях выявляют только на снимке. Поэтому пациенты, игнорирующие профилактические посещения, могут жить с гранулемой достаточно длительное время. Чем это чревато, как лечить гранулему и почему она появляется, расскажем в статье.
Основные причины развития воспаления зубов
Гранулема — это воспалительное образование на корне зуба, похожее на мешочек. В основном гранулема образуется при отсутствующем лечении пульпита или периодонтита, когда инфекция выходит за пределы зуба. Иммунные клетки начинают с ней бороться. И чтобы инфекция не распространилась по всему организму, образуется своеобразный шарик, внутри которого находятся продукты распада отмерших клеток. Таким образом организм оберегает сам себя от вредителей.
Есть три основные причины, из-за которых развивается гранулема.
- Невылеченный пульпит или периодонтит
Начинается все с кариеса. Бактерии сначала поражают эмаль, а затем пульпу. Появляется острая боль. Купирование боли при помощи таблеток и игнорирование стоматологического лечения постепенно приводит к гибели пульпы. Боль уходит, но заболевание остается. Инфекционный процесс выходит за пределы зуба, в результате чего образуется гранулема.
- Неграмотное лечение корневых каналов
Врач не до конца запломбировал каналы или пломбировочный материал вышел за пределы корневых каналов — все эти ошибки могут вызвать воспаление, а затем и гранулему корня зуба. Поэтому будьте очень внимательны, выбирая себе стоматолога.
- Травма зуба
Перелом коронковой части зуба создает благоприятные условия для проникновения бактерий, провоцирующих развитие патологических процессов.
Как распознать гранулему

Практически во всех случаях гранулема развивается незаметно. Многие пациенты даже не догадываются о ее существовании. И хотя временами могут появиться незначительные симптомы (небольшая боль при надкусывании, при употреблении горячих или холодных напитков), чаще всего они остаются без внимания.
Лишь в период ослабления иммунитета симптоматика заболевания может усилиться и проявиться в виде отечности десны, болевых ощущений, в том числе при касании мягких тканей.
Обострение может проходить самостоятельно. У пациента возникает мысль, что заболевания ушло, и он решает отложить визит к врачу. Однако гранулема продолжает расти, вместе с этим повышается риск ее перехода в кисту.
Гранулема и киста — одно и то же?
И то, и другое является образованием на верхушке корня, однако это два разных заболевания.
| Гранулема | Киста |
Сплошное образование из грануляционной ткани, не имеющее полости, которое защищает организм от распространения инфекции. | Представляет собой оболочку из соединительной ткани, внутри которой скапливается гной. |
Временами может появляться боль при надкусывании. В запущенной стадии наблюдается расшатывание проблемного зуба. | Чаще всего симптоматика не проявляется. |
Может превратиться в кисту. |
Раньше считалось, что кисту от гранулемы можно отличить по размерам (киста крупнее, чем гранулема). Однако такое мнение ошибочно. Гранулема вполне может вырасти до размеров кисты. Для постановки правильного диагноза одного рентгеновского обследования мало. Необходим анализ на гистологию.

Гранулема зуба — способы лечения
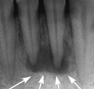
Первым делом врачу нужно поставить точный диагноз и удостовериться, что образование действительно является гранулемой. Для этого ему необходимы рентгеновский снимок и результат гистологического исследования. Как только диагноз будет установлен, доктор выберет тактику лечения.
Раньше проблемный зуб с гранулемой подвергался удалению, особенно если у пациента гранулирующий периодонтит. Сейчас используют зубосохраняющие методики. В зависимости от степени поражения для лечения гранулемы используют два метода.
- Терапевтический (с лечением зубных каналов)
Применяется при наличии гранулем небольшого размера. Проводится обработка и пломбировка каналов временным лечебным препаратом. Спустя некоторое время, в случае устранения очага воспаления, каналы пломбируются постоянным пломбировочным материалом. В терапию могут также включены антибиотики и противовоспалительные средства.
Такую процедуру желательно проводить с помощью дентального микроскопа, чтобы избежать ошибок и повторного появления заболевания.
- Хирургический (с резекцией верхушки корня)
Применяется в случаях, если:
1. извилистый или слишком тонкий зубной канал;
2. в корне установлен штифт;
3. гранулема большого размера.

Операцию по удалению гранулемы можно провести несколькими способами.
- Цистэктомия. Чтобы получить доступ к очагу воспаления, врач делает небольшой надрез в мягких тканях. Затем образование удаляется, проводится антисептическая обработка и пломбирование канала зуба. Пустое пространство врач заполняет костным материалом и зашивает десну.
- Гемисекция. Применяется редко, так как при таком способе сложно прогнозировать успешный результат. Представляет собой удаление части зуба с корнем, на котором образовалась гранулема.
Очень редко пораженный зуб с гранулемой подлежит удалению. Если этого не избежать, то важно выбрать опытного хирурга. Операция должна проводиться максимально аккуратно, чтобы не допустить распространения инфекции в мягких тканях.
Меры профилактики
Предотвратить образования гранулемы и сохранить родной зуб помогут своевременное лечение стоматологических заболеваний и регулярный профилактический осмотр. Стоит помнить, что даже вылеченный пульпит повышает риск развития воспаления, поэтому желательно лечить зубы еще в стадии кариеса, пока инфекция не достигла пульпы.